大動脈瘤

動脈瘤は、動脈の変性疾患によって動脈壁が弱くなり、次第に拡大してくる病気です。
全身の動脈に発生しますが、大動脈瘤は、上行胸部大動脈、弓部大動脈、胸部下行大動脈、胸腹部大動脈、腹部大動脈など、あらゆる部位に発生します。

大動脈瘤は、大きくなっても無症状で経過することが多く、患者さんが自覚することはほとんどありません。通常は、X線撮影やCT検査などで偶然発見されることが多いです〈図1 a,b,c〉。
問題は、自覚症状がなくても破裂する危険性があることです。一度破裂すると、急死する危険性が非常に高くなります。

そのため、胸部では直径6cm、腹部大動脈では4〜5cm以上になると破裂の可能性が高くなり、人工血管置換術やステントグラフト挿入術によって治療が行われます。

腹部大動脈瘤(AAA)

直径3cm以上は腹部大動脈瘤と定義され、腎動脈下腹部大動脈に好発します〈図1 a,b,c〉。動脈瘤は年間に約0.5cmずつ拡大していきます。瘤径が4cmを超えると、1年以内に破裂する危険性が約15%に達するため、一般的に4〜5cmを手術の適応としています。〈図2〉。

動脈瘤は、高血圧症とは関係なく発生しますが、破裂には高血圧が関係しています。
通常は自覚症状がなく、腹部の拍動性腫瘤を自覚してCT検査を受けた際に確定診断されることが多いです。
治療法には、開腹による人工血管置換術と、ステントグラフト留置術があります。

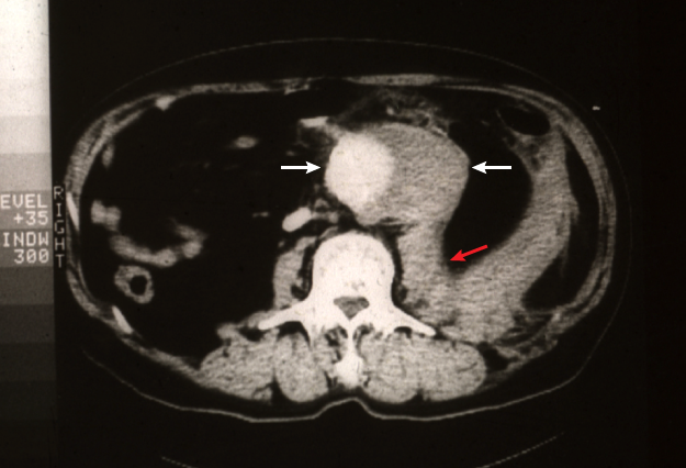
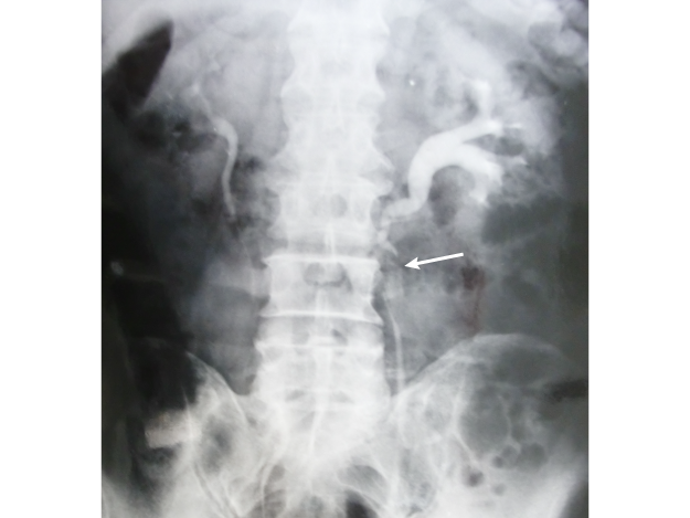
図1
図1. 腹部大動脈瘤
  • 腹部大動脈〜腸骨動脈瘤の模式図
  • 腹部大動脈瘤(矢印)の大動脈造影像
  • 腹部大動脈瘤(矢印間)の CT 画像

治療

ステントグラフト留置術(EVAR:Endo-Vascular Aneurysm Repair)

金属性の格子状の筒を人工血管布で包んだステントグラフト(既成人工血管)をカテーテルで動脈瘤内に誘導して内腔に留置する方法です。低侵襲ですので高齢者や全身状態の不良な患者さんに適しています〈図3 a,b〉。

図3
図3. 腹部大動脈瘤に対するステントグラフト留置術
88才/男性
77mmの巨大瘤
  • 術前大動脈造影腹部大動脈瘤が描出される(矢印)
  • 腹部大動脈瘤に留置されたステントグラフト(白い網状の金属とそれを覆う 人工血管布)が描出されるステントグラフトExcluder(手術時間1時間56分)

人工血管置換術

お腹を切開して大動脈瘤を切開し、人工血管に置き換える方法です。到達法には開腹到達法と腹膜外到達法の2種類があります。開腹到達法では腸管が露出するため、手術後の回復が遅れたり、腸管癒着による腸閉塞などの合併症が起こる可能性があります。
一方、腹膜外到達法は腹部を横切りにして腸管を露出させない方法で〈図1〉、大動脈の置換を行う手術です。開腹法で起こりうる腸管合併症がなく、術後の回復が早いという利点があります。

腹膜外到達法による腹部大動脈人工血管置換術

当科では通常、腹膜外到達法を採用しています。左側腹部を臍に向かって約15cm切開し腹膜の外側から大動脈瘤に到達します。大動脈に到達するまで開腹手術よりも時間がかかりますが、術後の回復は明らかに良好です。
人工血管は、一般にメリヤス編み人工血管(16x8mm)のY字型が用いられます。

図4
図4. 腹部大動脈瘤に対する腹膜外到達法の左腹部横切開

腹部大動脈瘤人工血管置換術の合併症

腹部大動脈瘤人工血管置換術には、特有の手術合併症があります。しかし、その対処法はすでに確立されており、適切に手術が行われれば合併症が発生することはありません。主な合併症は、以下に示す10項目です。

  • 人工血管吻合部12指腸瘻
    最も重大な合併症で人工血管感染が必発なため、死亡率は70%に達します。
  • 人工血管感染
    上記以外に約1%の人工血管感染が発生します。治療は同様に困難で、死亡率は30%以下です。
    図
    腹部大動脈瘤に対する人工血管置換手術後の人工血管感染
    大腸壊死後の人工血管感染(矢印)
  • 下部大腸虚血/腸管壊死
    大腸血流を考慮した適切な人工血管置換術および血行再建が必須です。対応が遅れると人工血管感染を引き起こし、致命的となります。
    図
    腹部大動脈瘤に対する人工血管置換術後に発生したS状結腸壊死
    壊死腸管を腹腔外へ引き出した状態
  • Trash Foot粥腫の遊離による足趾塞栓症/足趾壊死
    最も発生頻度が高い初歩的な合併症であり、外科医の責任と言えます。
    図
    腹部大動脈瘤に対する人工血管置換術後に発生した左下肢塞栓症(Trash Foot)
  • 水腎症
    人工血管による尿管圧迫によって起こります。
    図
    人工血管置換術後に左尿管圧迫狭窄による水腎症
    腹部大動脈瘤に対する人工血管置換術後、人工血管との交差部で左尿管の圧迫狭窄がおこり水腎症が発生
  • リンパ漏/リンパ嚢胞/乳び嚢胞
  • 骨盤間欠性跛行
  • 血管性インポテンス
  • 十二指腸圧迫Nutcracker様閉塞症
  • 破裂性腹部大動脈瘤の場合の下位脊髄神経麻痺

腎動脈直下腹部大動脈瘤

この大動脈瘤は腎動脈直下まで及んでいるため、人工血管の中枢側吻合を行うには腎動脈より上で大動脈を遮断する必要があります。
腎動脈上での遮断は腎血流を中断することになり、30分以上遮断が続くと急性腎不全を発生する可能性があります。
したがって、30分以内に血管吻合を完了して腎血流を再開するか、それ以上の時間を要する場合には腎動脈への血流を確保する必要があります。

ご相談・セカンドオピニオン

ご相談は無料です。道外の患者さんもお気軽にお問い合わせください。
現在の状態や経過、写真などをできるだけ詳しくご入力ください。

お問い合わせフォームへ